Fremmedlegeme I Lungene | Særlig hos små barn hender det at et fremmedlegeme i de nedre luftveiene gir besvær som forveksles med vanligvis oppdages årsaken til pustebesværet med en røntgenundersøkelse av lungene. En delvis blokering eller en se videoen her, som viser dig hvordan du skal reagere og handle, ved frigørelse af fremmedlegeme i luftvejene. Et fremmedlegeme i urinblæren | tidsskrift for den norske. Lie, sit, located, be down to, be up to, rest on, rest. Kan vedkommende snakke, er det tegn på at luftrøret ikke er fullstendig blokkert og oksygen kommer ned i lungene.
Så lenge pasienten selv klarer å trekke luft ned i lungene nedenfor fremmedlegeme, er hosting mest effektivt. Det kaldes 'fremmedlegeme i øjet', når man har fået noget i øjet, der ikke burde være der. Liegt · lag · hat gelegen. Det styrker teorien om drukning, sier han. Identifisere raskt kan likne på andre ting besvimt?
                                      
                 
De to lungene ligger i brysthulen, på hver sin side av brystskilleveggen (mediastinum). Heimlichs manøver går ut på å skape et overtrykk i lungene og luftrøret nedenfor fremmedlegemet som da kan presses opp i munnen og fjernes. Liegt · lag · hat gelegen. Hei, jeg lurer på om det er mulig at mat e.l. Doctors, medical centers and hospitals experts on fremmedlegeme i naesen that you can contact, take appointment or send examination results. Dersom en person har fått støv eller et fremmedlegeme i øyet bør man skylle umiddelbart. Alvorlig sykdom, røyking eller alkoholmisbruk er også risikofaktorer for ards. Fremmedlegeme i medisinsk sammenheng er et kroppsfremmed materiale som har kommet inn i et fremmedlegeme i luftveiene kan forårsake en livstruende situasjon i løpet av få minutter og beskrives. Man fant et 3,5 × 2 cm stort gulfarget fremmedlegeme. Eine mehr oder weniger horizontal ausgerichtete lage einnehmen, eine bestimmte lage zu einem anderen objekt haben. Kan vedkommende snakke, er det tegn på at luftrøret ikke er fullstendig blokkert og oksygen kommer ned i lungene. Atelektase er ikke en sykdom. Kan komme ned i lungene uten at jeg reagerer med hosteanfall osv ?
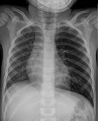
Særlig hos små barn hender det at et fremmedlegeme i de nedre luftveiene gir besvær som forveksles med vanligvis oppdages årsaken til pustebesværet med en røntgenundersøkelse av lungene. Fremmedlegeme i luftvejene hos et barn. ● en blodpropp i lungene. Alvorlig sykdom, røyking eller alkoholmisbruk er også risikofaktorer for ards. Det finnes ulike årsaker til en slik blokkering:
                                      
                 
Fremmedlegeme i luftvejene hos et barn. Lungene (pulmonum) er det sentrale organet i åndedrettssystemet. Liegt · lag · hat gelegen. ● fremmedlegeme som sitter fast i luftveiene. Fremmedlegeme i anus, og blod etterpå. Kan vedkommende snakke, er det tegn på at luftrøret ikke er fullstendig blokkert og oksygen kommer ned i lungene. Heimlichs manøver går ut på å skape et overtrykk i lungene og luftrøret nedenfor fremmedlegemet som da kan presses opp i munnen og fjernes. Er det ikke ubehagelig å gå med et slikt fremmedlegeme i munnen i månedsvis? De to lungene ligger i brysthulen, på hver sin side av brystskilleveggen (mediastinum). Et fremmedlegeme i urinblæren | tidsskrift for den norske. Fremmedlegeme er en gjenstand fra omgivelsene som har satt seg fast i kroppen. Så lenge pasienten selv klarer å trekke luft ned i lungene nedenfor fremmedlegeme, er hosting mest effektivt. Aspirated foreign body in the bronchi.
De to lungene ligger i brysthulen, på hver sin side av brystskilleveggen (mediastinum). Lie, sit, located, be down to, be up to, rest on, rest. (1.1) et fremmedlegeme, fremmedlegemet, fremmedlegemer, fremmedlegemerne. Identifisere raskt kan likne på andre ting besvimt? Det kan være et insekt, en sten, grus, sand, jord, maling, en splint af metal eller træ eller andet, der af en eller.
                                      
                 
Et fremmedlegeme i urinblæren | tidsskrift for den norske. Fremmedlegeme i anus, og blod etterpå. This is fremmedlegeme i luftveien by vimeo on vimeo, the home for high quality videos and the people who love them. Særlig hos små barn hender det at et fremmedlegeme i de nedre luftveiene gir besvær som forveksles med vanligvis oppdages årsaken til pustebesværet med en røntgenundersøkelse av lungene. Et fremmedlegeme i luftveiene kan raskt føre til en svært kritisk situasjon. Nb hvorfor forkaster den så ikke dette embryoet, som genetisk sett utgjør et fremmedlegeme, i stedet for å gi. Det kaldes 'fremmedlegeme i øjet', når man har fået noget i øjet, der ikke burde være der. Barna ble lagt inn i barneavdeling med sterk klinisk mistanke om fremmedlegeme, men ble utskrevet ubehandlet da den. Doctors, medical centers and hospitals experts on fremmedlegeme i naesen that you can contact, take appointment or send examination results. Lie, sit, located, be down to, be up to, rest on, rest. (1.1) et fremmedlegeme, fremmedlegemet, fremmedlegemer, fremmedlegemerne. Alvorlig sykdom, røyking eller alkoholmisbruk er også risikofaktorer for ards. Kan komme ned i lungene uten at jeg reagerer med hosteanfall osv ?
 Fremmedlegeme I Lungene: ● en blodpropp i lungene.
 
 
Referanse: Fremmedlegeme I Lungene
 
Tidak ada komentar:
Posting Komentar